本数据集包含肝脏MRI影像样本:良性肿瘤(Benign)和恶性肿瘤(Malignant)。通过深度学习训练,模型能够自动提取肿瘤的关键特征,区分肝脏肿瘤类型并输出分类标签与置信度评分,为临床提供辅助诊断依据。该数据集旨在推动肝脏肿瘤的智能诊断与早期筛查,助力肝脏医学影像分析的智能化。
数据集信息
编号:Dataset-18
大小:30M
整理:Bob
法律声明
由于数据集具有可复制性,根据《中华人民共和国消费者权益保护法》相关规定,一旦完成购买和下载,本产品不支持退货或退款。请在购买前确认软件符合您的需求。如果对产品有任何疑问,请在购买前及时咨询客服(QQ 8872401)。
订单付款后,不支持取消和退款。购买数字资源前请谨慎,确保已详细了解产品内容。
如果对数据集使用有不清楚的地方,请及时联系我们的技术支持团队,我们将提供相应的技术支持,确保顺利使用。
数据集概览
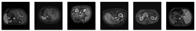
数据图像:

图1 样本图像
数据类型:

表1 数据类型与格式
数据规模:
(1)数据集划分饼图

图2 数据集划分饼图
数据集类别

表3 类别定义
数据集来源

表4 数据集来源与说明
数据集用途
本数据集用于肝脏肿瘤MRI图像的分类模型训练与验证,包含两类样本:良性肿瘤(Benign)和恶性肿瘤(Malignant)。可应用于以下研究与开发方向:
(1)模型训练:支持基于深度学习的图像分类模型(如ResNet50、VGG16、Swin Transformer)进行肝脏肿瘤MRI影像特征学习。
(2)性能评估:用于测试模型在良性与恶性肿瘤分类任务中的准确率、召回率、F1值等指标。
(3)特征分析:研究良性与恶性肿瘤在结构、纹理与信号强度等方面的差异。
(4)系统开发:为肝脏肿瘤智能诊断系统、医学影像辅助诊断平台及筛查系统提供数据支持。
数据集须知
(1)数据来源:基于公开的肝脏肿瘤MRI影像数据集(如Kaggle等),仅限科研与教学用途。
(2)数据结构:包含训练集与测试集,分为两类样本(良性肿瘤、恶性肿瘤)。
(3)文件格式:图像文件为.jpg格式(按类别文件夹组织),文件命名与类别标签严格对应。
(4)使用要求:需遵守医学影像数据隐私与伦理保护相关规定,引用时须注明数据来源。
(5)适用范围:适用于肝脏肿瘤MRI影像的识别、分类、特征提取及智能诊断系统研究。
数据集性能
训练与验证准确率和损失曲线:

图3 训练与验证准确率和损失曲线线
该图展示了Swin Transformer模型在肝脏肿瘤分类任务中的整体性能。模型的总体准确率(Accuracy)为0.93,表明分类效果较好。良性肿瘤的精确率为0.97、召回率为0.88、F1值为0.92;恶性肿瘤的精确率为0.90、召回率为0.98、F1值为0.94。结果说明模型在区分良性与恶性肿瘤时表现均衡,其中对恶性肿瘤的识别更为敏感,能有效避免漏诊。
混淆矩阵热力图:

图4 混淆矩阵热力图
混淆矩阵展示了模型在良性与恶性肿瘤分类上的预测分布。良性肿瘤的正确分类率为0.88,有约12%的样本被误判为恶性;而恶性肿瘤的正确识别率高达0.98,仅有2%的样本被误分为良性。整体来看,模型在恶性肿瘤检测上的鲁棒性更强,误诊率较低,能较好地区分不同类型的肿瘤影像。
各类的分类性能评估:准确率、精确率、召回率与F1分数图

图5 各类的分类性能评估:准确率、精确率、召回率与F1分数图
该图反映了Swin Transformer模型在训练阶段的性能变化趋势。随着训练轮次的增加,训练与验证准确率均稳步提升并趋于收敛,损失函数持续下降,说明模型学习过程稳定、收敛良好。同时,训练集与验证集的表现接近,未出现明显过拟合现象,表明模型具有良好的泛化能力和稳定性。
联系我们

官方声明
(1)实验环境真实性与合规性声明:
本研究所使用的硬件与软件环境均为真实可复现的配置,未采用虚构实验平台或虚拟模拟环境。实验平台为作者自主购买的惠普(HP)暗影精灵 10 台式整机,具体硬件参数详见表。软件环境涵盖操作系统、开发工具、深度学习框架等,具体配置详见表,所有软件组件均来源于官方渠道或开源社区,并按照其许可协议合法安装与使用。
研究过程中严格遵循学术诚信和实验可复现性要求,确保所有实验数据、训练过程与结果均可在相同环境下被重复验证,符合科研规范与工程实践标准。
(2)版权声明:
本算法改进中涉及的文字、图片、表格、程序代码及实验数据,除特别注明外,均由2zcode.Bob独立完成。未经2zcode官方书面许可,任何单位或个人不得擅自复制、传播、修改、转发或用于商业用途。如需引用本研究内容,请遵循学术规范,注明出处,并不得歪曲或误用相关结论。
本研究所使用的第三方开源工具、框架及数据资源均已在文中明确标注,并严格遵守其相应的开源许可协议。使用过程中无违反知识产权相关法规,且全部用于非商业性学术研究用途。


评论(0)